Biphasic mesothelioma is the second most common type of mesothelioma, as characterized by the cell types in the tumor. Approximately 3 out of 10 diagnosed mesothelioma cases are biphasic. It includes a mix of two major cell types: epithelioid and sarcomatoid.[1]
How Is Mesothelioma Classified by Cell Type?
Histology is the study of microscopic cell structures. When a tumor is discovered through imaging scans, cells are removed for examination by a pathologist to determine whether they are benign or malignant and to determine the cells’ origin. Mesothelioma cells may develop in the peritoneum, pleura, or pericardium.[2]
A pathologist will also look at biopsied cells to determine their histological classification, also known as cell type:[3]
- Epithelioid
- Sarcomatoid
- Biphasic
Cell type describes the cells that have mutated and become malignant to cause cancer. The distinction is important because it informs treatment and plays a role in determining prognosis and the progression of the cancer.
What Is the Definition of Biphasic Mesothelioma?
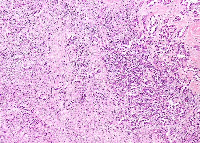
Biphasic mesothelioma is a cancer characterized by a mix of epithelial and sarcomatoid cells. To be classified as biphasic, the biopsied sample must contain more than 10% of either epithelioid or sarcomatoid cells.
For example, if a biopsy shows 88% epithelial cells and 12% sarcomatoid cells, the diagnosis is biphasic mesothelioma. If the sample contains 91% epithelial and 9% sarcomatoid cells, it is considered epithelioid mesothelioma.
What Are Sarcomatoid and Epithelioid Cells?
Biphasic mesotheliomas are tumors that include a mix of these two cell types. Epithelial cells make up tissue in the body that lines the surfaces of organs, blood vessels, and the interiors of cavities. When these cells become cancerous, it is called a carcinoma.[4]
On the other hand, sarcoma develops from cells that make up bone, fat, muscle, vascular, and connective tissue. Sarcomas are rarer than carcinomas. [4]
The distinction between the cell types is important in the diagnosis and treatment of mesothelioma:
- Epithelioid mesothelioma cells are easier to treat.
- They are also less aggressive because they tend to stick together rather than spread.
- Sarcomatoid cells are more likely to spread to other organs as they adhere less to one another.
- Epithelioid cells appear as rounded, cube-like shapes.
- Sarcomatoid cells are spindle-shaped and arrange themselves in a disorganized manner.
How Common Is Biphasic Mesothelioma?
All types of mesothelioma are rare. In terms of cell type, epithelioid mesothelioma is the most common, and sarcomatoid is the rarest. Biphasic mesothelioma accounts for about 25% to 30% of diagnoses. The rate is similar in both pleural and peritoneal mesothelioma.
What Are the Symptoms of Biphasic Mesothelioma?
The symptoms of biphasic pleural mesothelioma are:
- Shortness of breath
- Difficulty breathing
- Wheezing
- Coughing
- Chest pains
- Lumps under the skin
Typical symptoms of biphasic peritoneal mesothelioma include:
- Abdominal swelling
- Abdominal pain
- Gastrointestinal problems
- Nausea
- Vomiting
- Anemia
As both of these types of mesothelioma progress, symptoms worsen. Patients in later stages may also experience extreme fatigue, fever, loss of appetite, and weight loss.
How Is Biphasic Mesothelioma Diagnosed?
All types of mesothelioma are challenging to diagnose and may result in misdiagnoses. Pleural mesothelioma is often misdiagnosed as lung cancer, for instance.
Peritoneal biphasic mesothelioma can be misdiagnosed as liver cancer, carcinosarcomas, synovial sarcoma, and other cancers.[5][6]
- Diagnosis of biphasic mesothelioma begins with a visit to the doctor and a physical examination.
- This is usually followed by an X-ray, CT scan, MRI, or PET scan (or a combination of these) to determine if there are tumors or other abnormal tissues.
- Any abnormal tissues are then biopsied. In most cases, this requires the insertion of a needle to draw fluid or tissue. If the tumor is particularly difficult to reach, surgery may be required.
- A pathologist then examines the biopsied cells to determine if they are malignant or benign.
- The pathologist will also determine if the cells are in the mesothelium or some other tissue. This histological diagnosis is not always accurate. It is often difficult to distinguish mesothelioma cells from other cancer types.[7]
- If the pathologist makes a confident mesothelioma diagnosis, they will then examine the cells to determine the type of mesothelioma. If a sample contains a mixture of epithelioid and sarcomatoid cells, the diagnosis will be biphasic mesothelioma.[7]
The pathology component of diagnosis is essential to a complete mesothelioma diagnosis. Knowing the cell types and their proportions helps doctors develop the right treatment plan. This distinction also informs the patient’s overall prognosis.
Misdiagnosis is common in all types of mesothelioma. Even when doctors determine a patient has mesothelioma, getting the cell type right can be challenging. Studies have found that biphasic mesothelioma is more likely to be misdiagnosed than epithelioid mesothelioma.[6]
The study found that thoracoscopy led to the highest rates of accurate diagnosis of biphasic mesothelioma. Thoracoscopy is a minimally invasive procedure in which doctors insert a scope into a patient’s chest to remove a piece of tissue for diagnosis.
How Is Biphasic Mesothelioma Treated?
Treatment for biphasic mesothelioma depends on many factors. One factor is the ratio of epithelial to sarcomatoid cells:
- If more epithelial cells are present, the cancer is likely to spread slowly to areas near the original tumor.
- If sarcomatoid cells dominate, the cancer is more likely to be fast-growing and aggressive. This heterogeneity is the major factor that limits treatment options for biphasic mesothelioma.
Individual factors to consider include the patientās health, tumor location, and the extent of the metastasis.
Surgery is usually only performed for epithelioid mesothelioma; however, if the biphasic tumor is mostly epithelioid, surgical removal of all or part of the tumor may be part of the treatment. Surgery is typically followed by radiation and chemotherapy.
For mostly sarcomatoid biphasic tumors, chemotherapy and radiation are more likely choices for treatment. Immunotherapy is increasingly used as part of multimodal treatment for all mesothelioma types. Sarcomatoid patients are generally not eligible for surgery.
Some peritoneal mesothelioma patients can benefit from HIPEC. This is a type of regional chemotherapy that follows cytoreductive surgery. The combination has positive outcomes for many patients.
What Is the Outlook for Patients with Biphasic Mesothelioma?
As with treatment, the prognosis for patients with biphasic mesothelioma varies by individual. Unfortunately, most patients have a poor prognosis, regardless of cell type. Mesothelioma is aggressive and difficult to treat.
Generally, the outcomes for biphasic patients are better than those for sarcomatoid patients. However, the outcomes are worse than for epithelioid mesothelioma.
Survival rates for biphasic mesothelioma are low but vary depending on the proportion of cell types. The greater the ratio of epithelial cells present in a biphasic tumor, the longer the life expectancy.
A study measured survival times for patients who underwent some type of surgical procedure. The median survival time varied depending on the patient’s cell types:[8]
- Epithelial – 19 months
- Biphasic – 12 months
- Sarcomatoid – 4 months
Can I Improve My Prognosis?
Yes, patients can always take steps to improve the outcome, even if there is little to no hope of remission. Decisions you make following a diagnosis of biphasic mesothelioma can extend your life and improve the quality of life you experience:
- Start treatment right away.
- Collaborate with specialists who have experience treating mesothelioma patients.
- Choose the most aggressive treatments for which you qualify.
- Listen to your medical team and follow their instructions.
- Take care of your overall health, which includes maintaining a balanced diet and avoiding alcohol and tobacco use.
- Discuss palliative treatments with your care team to find the best options for improving your well-being.
If you were exposed to asbestos and then received a diagnosis of biphasic mesothelioma, you may feel someone else is to blame. Either your employer or the maker of asbestos-containing materials could be at fault.
File with an asbestos trust fund or start a lawsuit if you feel you have a strong case to make for compensation. This process can be complicated, but a lawyer with experience in asbestos and mesothelioma cases can help you navigate the process.
Mary Ellen Ellis
WriterMary Ellen Ellis has been the head writer for Mesothelioma.net since 2016. With hundreds of mesothelioma and asbestos articles to her credit, she is one of the most experienced writers on these topics. Her degrees and background in science and education help her explain complicated medical topics for a wider audience. Mary Ellen takes pride in providing her readers with the critical information they need following a diagnosis of an asbestos-related illness.
Pinar Kanlikilicer, Ph.D.
Medical Reviewer and EditorDr. Pinar Kanlikilicer has a PhD in Biomedical Engineering. She completed her 5-years of postdoctoral training in the Department of Experimental Therapeutics at MD Anderson Cancer Center. She is currently working in the field of cancer as a research scientist.
References
- American Cancer Society. (2026, February 3). Mesothelioma
Retrieved from: https://www.cancer.org/cancer/malignant-mesothelioma/about/malignant-mesothelioma.html - Mayo Clinic. (2024, December 5). Mesothelioma. Symptoms & Causes.
Retrieved from: https://www.mayoclinic.org/diseases-conditions/mesothelioma/symptoms-causes/syc-20375022 - Husain, A.N., et al. (2018, January). Guidelines for Pathologic Diagnosis of Malignant Mesothelioma. Arch. Pathol. Lab. Bed. 142(1), 89-108.
Retrieved from: https://meridian.allenpress.com/aplm/article/142/1/89/65614/Guidelines-for-Pathologic-Diagnosis-of-Malignant?searchresult=1 - National Cancer Institute. (n.d.). Cancer Classification.
Retrieved from: https://training.seer.cancer.gov/disease/categories/classification.html - Hassan, D. and Ligato, S. (2019). Localized Biphasic Malignant Peritoneal Mesothelioma with Rhabdoid Features Involving the Liver: Case Report and Review of the Literature. Case Reports in Pathology. https://doi.org/10.1155/2019/2732674.
Retrieved from: https://www.hindawi.com/journals/cripa/2019/2732674/ - Kao, S.C., Yan, T.D., Lee, K., Burn, J., Henderson, D.W., Klebe, S., Kennedy, C., Vardy, J., Clarke, S., van Zandwijk, N., and McCaughan, B.C. (2011, March). Accuracy of Diagnostic Biopsy for the Histological Subtype of Malignant Pleural Mesothelioma. J. Thorac. Oncol. 6(3), 602-5.
Retrieved from: https://www.ncbi.nlm.nih.gov/pubmed/21266919 - Inai, K. (2008, March). Pathology of Mesothelioma. Environ. Health Prev. Med. 13(2), 60-64.
Retrieved from: https://www.ncbi.nlm.nih.gov/pmc/articles/PMC2698271/ - Meyerhoff, R.R., Yang, C-F.J., Speicher, P.J., Gulack, B.C. Hartwig, M.G., D’Amico, T.A., Harpole, D.H., and Berry, M.F. (2015, June). Impact of Mesothelioma Histologic Subtype on Outcomes in Surveillance, Epidemiology, and End Results Database. J. Surg. Res. 196(1), 23-32.
Retrieved from: https://www.ncbi.nlm.nih.gov/pmc/articles/PMC4430361/